icon

X-ray and Fluoroscopy

Dynamic Digital Radiography

Elevating X-ray Technology for Functional Imaging


Dynamic Digital Radiography (DDR) is an advanced imaging modality that captures both static and dynamic anatomical movement in a single X-ray system. By combining high-speed image acquisition with ultra-low dose, DDR enables functional and quantitative diagnostics—offering significant improvements in patient care.

Key Features
  • Anatomy in Motion: Captures up to 300 images in 20 seconds using pulsed X-ray, forming a real-time cineloop for dynamic visualization.
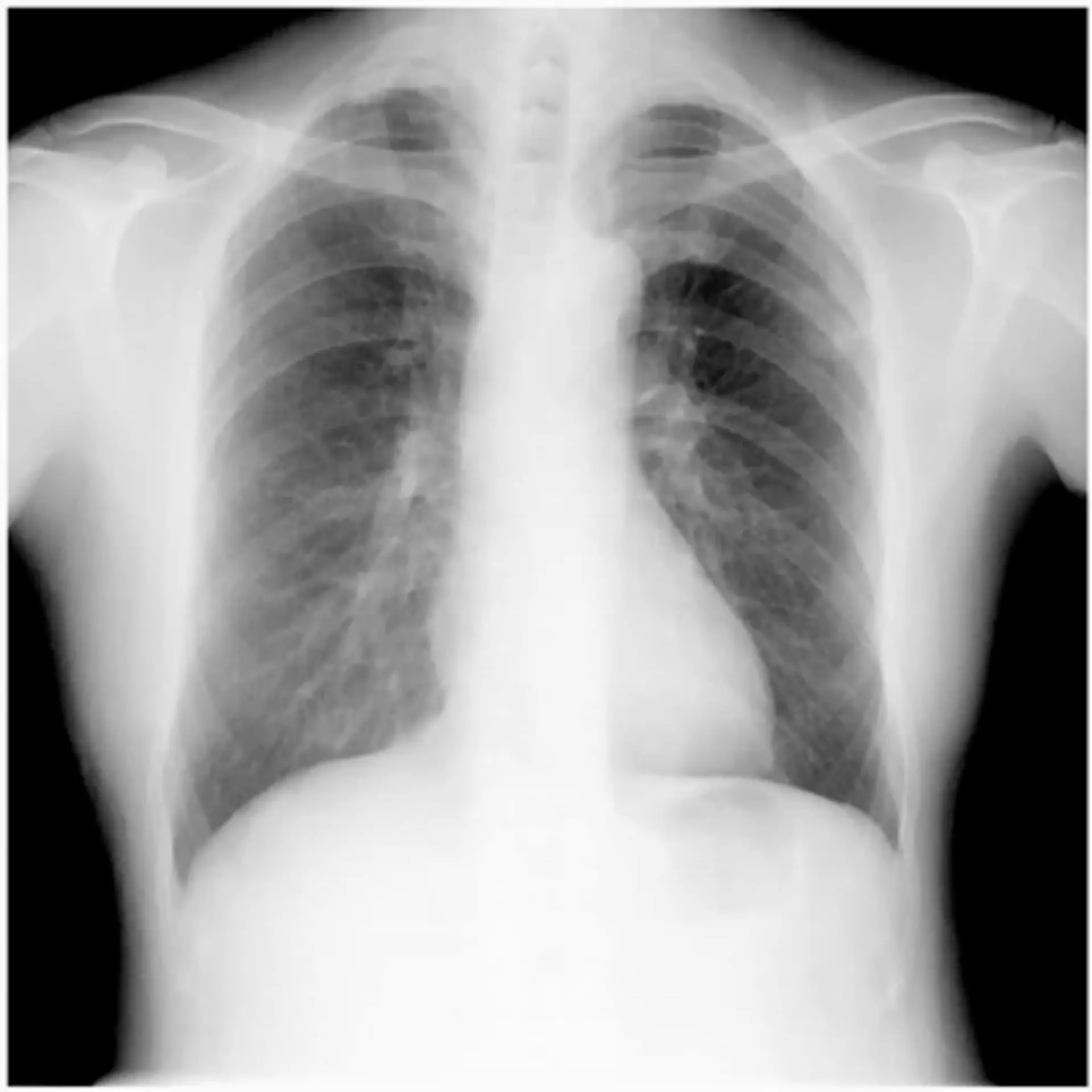
  • Functional Insight: Enables observation of respiratory, cardiovascular, musculoskeletal, and post-surgical motion for comprehensive functional assessment.
  • Full 17" x 17" Field of View: Captures the whole anatomical region in one exposure for complete diagnostic coverage.
  • No Contrast Needed: Provides physiological data without the use of contrast agents or radiopharmaceuticals, improving patient safety and comfort.
  • Portable Capability: Compatible with Konica Minolta's AeroDR TX for point-of-care dynamic imaging, offering flexibility in clinical settings.
  • Low Radiation Dose: Offers a safer alternative for patients with minimized radiation exposure while maintaining diagnostic quality.
Why Choose Dynamic Digital Radiography?
  • Efficient Workflow: DDR exams follow the same process as conventional X-rays and can be completed within minutes, ensuring seamless integration into existing protocols.
  • Cost-Effective Upgrade: Adds value to standard X-ray systems with enhanced functionality without requiring complete system replacement.
  • Quantitative Data: Facilitates diagnosis through dynamic assessment of organ and joint movement, providing measurable clinical insights.
  • Versatile Application: Suitable for pulmonology, orthopedics, emergency, and cardiovascular imaging across diverse clinical specialties.

Dynamic Digital Radiography represents a breakthrough in functional imaging, combining the simplicity of conventional X-ray with the diagnostic power of dynamic motion capture for improved patient outcomes and clinical efficiency.

Have a question? We would love to hear from you.


Contact Us