icon

Ophthalmology

Ultra-widefield
Ultra-widefield

Capture up to 200° of the retina in one image for quick, non-invasive detection and monitoring of retinal diseases.

View Products
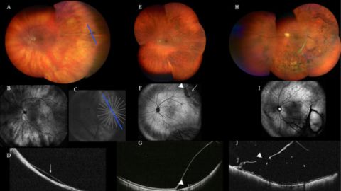
Ultra-widefield with Optical Coherence Tomographic
Ultra-widefield with Optical Coherence Tomographic

UWF imaging with OCT scans for a precise view—ideal for complex retinal conditions.

View Products